肾气虚引起的骨痹和颈部疼痛病例
袁占奎 DVM, CVA, PhD(中国农业大学动物医院)
1 基本信息:Vega,6岁,雌性杜宾犬。
2 主诉:犬起立困难。
3 病史:
Vega由于走路不稳被带到其他医院就诊,在一周内症状加重,无法跳上车,且起立和行走困难。精神、饮食和大小便正常。犬正常免疫和驱虫,平时饲喂商品化犬粮。
4 常规检查:
Vega精神状态、意识和水合状况良好,口腔黏膜为粉色,CRT<2s。BCS为4/9。被毛状况良好。体温正常。心率100次/min,节律正常,无杂音。
神经学检查:犬意识正常,起立和行走困难。四肢本体感受明显减弱,肌张力增加。前肢臂三头肌和臂二头肌反射3+;后肢膝反射和胫前肌反射3+。四肢深痛均存在,但减弱。颈部肌肉紧张。脑神经检查无异常。
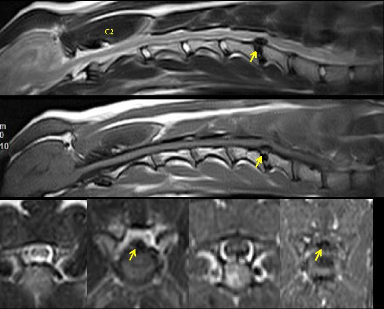
神经学病变定位:MRI检查,可见 C5-6 椎间盘矿化、脱出,椎管内占位明显,约为 50%,局部脊髓受压变形(见图1)。C1-C5脊髓神经损伤,瘫痪程度3/5。
西兽医诊断为 Wobbler 综合征。

图1 Vega的颈部MRI影像
5 TCVM检查:
Vega对人友好,性格属土。舌色轻微发紫,脉搏100次/min,右侧略弱。由于该犬主要是椎间盘脱出引起的行动异常,属于骨骼肌肉系统病变,中兽医定位肾系病证。由于右侧脉弱,没有其他阳虚生寒的表现,诊断为肾气不足。由于出现C1-C5脊髓神经损伤,表现为行动困难、瘫痪,诊断为颈部气滞血瘀引发的痹证。综合以上分析,该犬中兽医诊断结果是肾气不足及颈部气滞血瘀引发的痹证。
TCVM治疗原则:补肾气,强筋骨,活血通络,止痹痛。
6 治疗:
白针:BL-11,GV-14,GB-44,LU-7,ST-36。
水针:百会、BL-62和SI-3,用B12,每处1ml。
电针:肾俞(双侧)、GB-34(双侧)、颈夹脊(双侧C2/3、C4/5和C5/6),每1-2周1次,共6次。
药物:Cervical Formula(JT 中药),0.5g/10lb,PO,BID。
7 随访:
第一次治疗后,Vega明显好转,起立变得比较容易,四肢明显有力,但行走仍能看到不稳。第三次治疗后,Vega的四肢力量明显增强,可以后肢站起扑人。第六次治疗后,Vega行动已经基本恢复正常。
8 讨论:
Wobbler综合征是指引起脊髓受压迫的颈椎异常。临床症状通常与后段颈椎脊髓病一致,后肢发病比前肢更为严重。如果可以活动,这些病患一般表现出前肢僵硬、摇摆、拖行步态和后肢运动失调、宽基步态(双引擎步态)。在一些犬可以观察到前肢肘关节外展和趾内旋(趾向内)。后肢常常比前肢更容易失去本体感受,而且很难区分C6-T2和T3-L3脊髓病。临床症状一般会在数周至数月内缓慢发展,但偶尔可见急性发作及伴有轻微创伤性事件。
从TCVM的角度讲,Wobbler 综合征即颈部痹证。痹证主要指骨骼、关节、肌肉等组织在致病因素的长期作用下,引起局部形态变化,从而引发疼痛、甚至瘫痪的病证。颈部痹证包括局部软组织损伤、颈部僵硬和颈椎畸形。 颈部痹证是指颈部的气血瘀滞,风-湿-寒的外源性病邪入侵也能引起颈部气血瘀滞。痹证主要出现骨骼、关节、肌肉等组织的疼痛,中医认为肾主骨生髓,所有骨骼、关节的病证属于肾系病证,由于该犬没有明显的阳虚症状,因此辨证为肾气虚引起的痹证。治疗原则是补肾气,强筋骨,活血通络。
痹证的主要症状是疼痛,疼痛为气血瘀滞,经络不通的表现。颈部痹证可分为气滞和血瘀两种。气滞的患病动物在触诊时颈部有轻微的疼痛,或者只在后肢有轻微的共济失调。在X线片上也无明显变化。在血瘀的患病动物,有明显的四肢共济失调,X线影像可能有椎间盘间隙狭窄、半关节面硬化等。诊断需要依靠脊柱影像学检查,MRI优于脊髓造影或者CT。由于Vega具有明显的四肢共济失调,站立和行动困难,而且MRI结果显示C5-C6有明显的椎间盘脱出;因此,诊断该犬为血瘀,其治疗方案以活血化瘀止痛为主。
本病采用了针灸及中药治疗,通过中兽医的方法取得了很好的疗效。但由于中兽医在Wobbler综合征治疗的系列研究还很少,我们无法判定该方法与其他治疗方法的效果区别,因此还需要更多的病例来评估其效果。