科技创新
推拿配合绷带固定治疗髋关节脱位
发布人:管理员   发布时间:2017-2-25

Tatang Cahyono DVM, CTCVMP, MSTCVM

摘要:髋关节脱位多因骨盆部受到间接暴力所引起,也常继发于髋关节发育不良及退行性关节疾病等。前上方脱位是髋关节脱位最常见的类型,占到犬病例的78%,猫的73%;后上方脱位很少发生,可能是前上方脱位后,加大股骨的不稳定性,使股骨头向后移位有关;下方脱位也较少见(据报道有1.5%-3.2%的病例),可能是单纯下方脱位,或与髋臼嵌入式骨折有关。可通过触诊和X线检查进行诊断。治疗方法一般选择闭合复位术或开放复位术,本文作者利用推拿手法配合绷带固定髋关节,取得了良好的治疗效果,成功率为80%,且恢复期缩短为3.5天左右。

关键词:中药;髋关节脱位;髋关节;按摩;推拿;中兽医

西兽医对犬猫髋骨脱位的认识

犬猫髋关节脱位大多与外部创伤有关,59%-83%的病例是由交通事故所致。前上方脱位是最常见的类型,占到犬病例的78%和猫病例的73%;后上方脱位很少发生,可能与前上方脱位加大股骨的不稳定性,使股骨头向后移位有关;下方脱位也较少见(报道有1.5%-3.2%的病例),可能是单纯下方脱位,或与髋臼嵌入式骨折有关 [1]X线检查是诊断髋关节脱位的有效方法,一般采用闭合复位术或开放性复位方法进行治疗。采用闭合复位术时,前上方脱位根据关节囊撕裂部位不同分为三种类型,A型:髋臼与股骨颈中间部位撕裂;B型:从髋臼撕脱;C型:从股骨颈撕脱。A型脱位为最常见的类型,闭合复位术有很好效果;B型脱位用闭合复位术,易发生复脱,因为髋臼关节纤维唇缺损,不能帮助固定股骨头;C型脱位,关节囊横跨髋臼,形成吊床样,阻碍深度复位。若没有其他并发症,髋关节脱位在4-5天内通过闭合复位术即可整复[1],可在全身麻醉后尽快进行闭合复位术,动物的全身放松对成功复位很关键。

中兽医对犬猫髋关节脱位的认识

髋部疼痛是小动物临床的常见疾病。中兽医认为髋关节发育不良与肾精不足有关;髋关节炎通常是由老年病引起的退行性关节病,中兽医诊断为肾阴/阳虚证并伴有局部的气滞血瘀;外伤所致的髋关节脱位,中兽医诊断为局部气滞血瘀。临床表现为跛行、疼痛、髋关节外展能力下降、蹲坐谨慎、后肢步态僵硬、起立困难。外伤引起的髋关节脱位,主要表现为髋关节疼痛。中兽医检查:突然发病,舌色发紫,脉弦,触诊患部疼痛,诊断为局部气滞血瘀。推拿配合中药Body Sorea进行治疗,推拿可以消除气滞血瘀,复位髋关节[2,3]

推拿是中(兽)医手法治疗的一种,可以治疗和预防疾病,对治疗髋关节脱位很有效果。常用来治疗肌肉骨骼疾病、老年病,也可预防疾病,提高动物运动性能等[3]

实验设计及方法

20151月至20166月,采用推拿及绷带固定治疗犬猫髋关节脱位15例,其中犬14例,猫1例。病例均来自于Dr. Tatang Cahyono的动物诊所(PDHB 24 jam Drh.Cucu, dkk. Sunter, Jakarta, Indonesia)。通过X线来诊断髋关节脱位。根据股骨头与髋臼的相对位置,将脱位分为三种类型:前上方脱位、后上方脱位及下方脱位。

首先进行全身麻醉或使用镇静药物,以减轻疼痛,然后进行推拿,步骤如下:

1.       抖法:调节气血,放松关节

2.       拔伸法:拉伸筋脉,疏通经络

3.       摇法:疏通经络,放松关节

·         前上方脱位:逆时针摇动患肢

·         后上方脱位:顺时针摇动患肢

4.       按法:活血行气化滞

5.       拔伸法、摇法和按法配合使用

6.       Dr. Cahyono’s绷带法:在髋关节疼痛处垫一块棉花,用绷带在髋关节处做一个简单的十字包扎,防止股骨头从髋臼中脱出

7.       7-10天更换一次绷带,可持续一个月

8.       推拿前后均需拍摄X线片,以确定髋关节固定的位置

本实验没有对照组,动物可以正常活动即为治疗成功。

结果

本文中所列15例(犬14例,猫1例)脱位病例,其中前上方脱位13例(86.66%),后上方脱位1例(6.67%),下方脱位1例(6.67%)。推拿配合绷带固定治疗,成功率80%。恢复正常的时间缩短为3.5天左右,详细情况见表1

1:病例概况

病例

品种

性别

年龄

臀部脱位

发病天数

治疗方法

结果

显效时间(天)

1

马尔济斯犬

雌性

12

左侧前上方

12

推拿及绷带

有效

3

2

博美犬

雄性

13

右侧前上方

5

推拿及绷带

有效

20

3

混血犬

雄性

-

左侧前上方

2

推拿及绷带

有效

2

4

混血猫

雄性

2

左侧下方脱位

21

推拿及绷带

无效

1月后没有康复,2月后进行手术

5

博美犬

雄性

2

左侧前上方

3

推拿及绷带

有效

1

6

博美犬

雌性

5

右侧前上方

3

推拿及绷带

有效

6

7

博美犬

雌性

2

右侧后上方

2

推拿及绷带

有效

1

8

混血犬

雌性

7

右侧前上方

4

推拿及绷带

有效

1

9

混血犬

雄性

0.7

右侧前上方

12

推拿及绷带

无效

7天后,采用手术

10

博美犬

雄性

3

右侧前上方

3

推拿及绷带

无效

7天后有效,但30天后出现并发症,进行手术

11

贵宾犬

雄性

0.5

右侧前上方

7

推拿及绷带

有效

1

12

博美犬

雌性

8

右侧前上方

5

推拿及绷带

有效

1

13

博美犬

雄性

2

左侧前上方

1

推拿及绷带

有效

1

14

博美犬

雄性

4

左侧前上方

1

推拿及绷带

有效

1

15

西施犬

雄性

12

右侧前上方

4

推拿及绷带

有效

1

一犬前上方髋关节脱位病例报告

1.病例基本信息

博美犬,2岁,雌性。

2.就诊原因

犬左腿出现跛行,经检查确诊为髋关节前上方脱位,医生建议采用股骨头颈切除手术进行治疗,但主人不同意手术,1周后转诊到中兽医诊室。

3.中兽医检查及诊断

左腿跛行,触诊髋关节处疼痛明显,舌紫,脉弦而数。诊断为髋关节局部气滞血瘀。

4.治疗方案

通过推拿来复位髋关节。第一步运用抖法放松肌肉,然后拔伸法来拉伸筋腱,复位髋关节关键的手法是摇法,再用按法来固定髋关节,最后用绷带进行固定(见图1)。如果疼痛严重,可以注射镇静药物如安定等。每周更换一次绷带,并拍摄X线片,观察髋关节复位情况,绷带可以用至1个月,同时配合中药Body SoreaDi Gu PiaBody Sore具有行气活血止痛、补肝肾、强筋骨的作用;Di Gu Pi具有养阴清热、补血活血、补肝肾等功效。

20160826_121500

1 绷带固定脱位的髋关节

5.病例转归

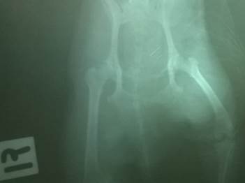
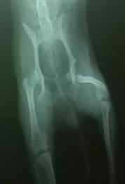
进行推拿后几小时,该犬就可以行走;2天后可以正常行走;1个月后完全恢复,正常活动。X线片显示髋关节已完全复位(见图2)。

WP_20151005_003WP_20151005_004

2:治疗前后髋关节X线照片

讨论

犬外伤性髋关节脱位是临床上的常见病例。西医常采用股骨头颈切除术或人工关节置换术,但是由于手术费用高,手术风险大,很多主人不愿意采取手术的方法,而选择保守治疗。推拿是复位髋关节脱位非常有效的方法,但是若有多种并发症,推拿效果往往不理想,尤其是当动物骨盆部肌肉和韧带损伤严重,患有遗传性髋关节发育不良,老年动物关节损伤等,推拿的治疗效果不佳[3,4]。推拿复位要在事故发生1-7天内进行,若病程延长,可能引起股骨头韧带与臀肌或是髂骨发生粘连;髋臼内软组织(例如关节囊内血肿和肿大的圆韧带以及脂肪组织)将填塞在髋臼内,加大复位难度,因此,尽可能早的进行推拿整复有利于髋关节复位。进行推拿及绷带包扎后的犬要在笼中静养,每天早上和下午,可分别运动10-20 min,禁止上下楼梯。髋关节复位后,若动物频繁上下楼梯、跳跃及外伤等,存在再次脱位的可能。中、大型犬通过推拿进行髋关节复位的成功率较低,因为中、大型犬髋关节脱位会使髋臼损伤严重,股骨头难以复位。

中兽医学认为,外伤性髋关节脱位属于典型的气滞血瘀病证,治疗原则为活血化瘀,行气除滞。推拿理气活血,配合中药止痛、强壮筋骨,结合绷带固定髋关节,取得了理想的疗效,治疗成功率为80%,与手术治疗相比,具有费用低、痛苦少、操作简单、恢复快的优点,可以作为手术前的替代疗法。

注:

aJing Tang Herbal, Reddick, FL http//:www.tcvmherbal.com

参考文献

1.     Brinker, Piermattei, AND Flo’s. Handbook of Small Animal Orthopedics and Fracture Repair 4th edition. St.Louis, Missiouri, Elsevier Publishing 2006: 456-511.

2.     Xie H. Chinese Veterinary Herbal Handbook 2nd edition. Reddick, FL: Chi Institute of Chinese Medicine Publishing 2008: 134-185.

3.     Xie H, Ferguson B, Deng X. Application of Tui-na in Veterinary Medicine 2nd edition. Reddick, FL: Chi Institute of Chinese Medicine Publishing 2007: 57-126.

4.     Xie H, Wedemeyer L, Cheryl L, Lisa T. Practical Guide to Traditional Chinese Veterinary Medicine Small Animal Practice, Reddick, FL: Chi Institute Press 2014: 30-33.

 

精美堂(保定)商贸有限公司
公司电话:17713269756
公司地址:阳光南大街与百花路交叉口,荣域铂庭(财富广场)写字楼15-1607室。  技术支持:网站制作